

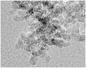
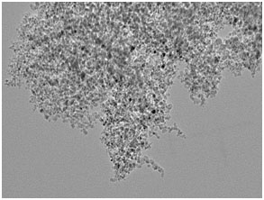
Nanodiamonds
A wide range of nanomaterials has come into existence as a result of increased research activities in the field of nanoscience and nanotechnology. Nanodiamonds are a part of carbon nanoparticles group that has attracted the interests of several research groups across the globe due to its superior physical and chemical properties. Nanodiamonds have creditable mechanical and optical properties, high surface area and tunable surface structures along with non-toxic nature that makes it a suitable candidate for biomedical applications. They have an octahedral structure with a diameter of 2-10 nm and are chemically stable, extremely hard, large surface area and high adsorption capacity. Nanodiamonds are synthesized by detonation method and are available in the form of films or powder.Detonated nanodiamonds has revolutionized the biomedical field by emerging as delivery vehicles for small chemical drugs and macromolecules due to their primary particle size of 4 to 5 nm, stable inert core, reactive surface, and ability to form hydrogels.
![]() |
![]() |
| Fig 1 & 2 illustrate the TEM images of Nanodiamonds | |
We have already made a breakthrough in the issue of high substrate temperature required for diamond growth. We are now exploring the possibilities of nanodiamonds to be a theragnostic tool owing to the multifunctional properties of nanodiamonds that can be used to improve the delivery of drugs in conjunction with imaging their fate in biological systems.

















